Single Tooth Implants Braintree

Blonde woman smiling with a single tooth dental implant in Braintree

Restore your smile with a single tooth implant designed to look, feel, and function just like your natural tooth.

Request Appointment See More Transformations

What Are Single Tooth Implants?

Replacing One Missing Tooth with a Dental Implant

Single tooth implants are the most advanced and natural-looking solution for replacing a missing tooth. Unlike traditional bridges, a dental implant stands on its own—preserving surrounding teeth and bone while providing unmatched stability. At OB1 Dental in Braintree, we use modern technology and prosthodontic expertise to rebuild your smile with precision and long-term success.

  • Replaces one missing tooth without altering adjacent teeth
  • Functions like a natural tooth with superior stability
  • Preserves bone and facial structure
  • Long-lasting, aesthetic results designed to blend seamlessly
Decorative constellation background

The OB1 METHOD: Dentistry With Emotional & Aesthetics Precision

At OB1 Dental, veneers aren't about covering flaws. They're about revealing your best self. We combine prosthodontics expertise with facial aesthetics to craft smiles that are biologically sound and emotionally resonant. Every design is guided by your facial structure, personality, and lifestyle.

“Your smile should look like you - on your best day.”

-Dr. Oz, Prosthodontist & Founder
Doctor Oz smiling at a dental patient

Building Path to Your New Tooth

Every step of your dental implant experience is personalized, precise, and designed for lasting comfort and function.

1

Comprehensive Evaluation

We begin with a detailed exam, digital imaging, and facially driven assessment to determine the ideal implant plan for your smile and bone health.

2

Precise Implant Placement

Using advanced technology and surgical accuracy, your implant post is placed to integrate securely with your jawbone.

3

Healing & Integration

Over the next few months, the implant fuses with your bone, creating a strong, natural foundation for your new tooth.

4

Final Custom Crown

Once fully healed, a beautifully crafted ceramic crown is attached—restoring your bite, confidence, and complete smile.

Start Your Journey

Why do patients trust OB1 dental?

Experience advanced, personalized care where your comfort, confidence, and results come first.

Framed diploma icon

Relentless Expertise

18+ years of advanced, precision-driven care.

Dental chair icon

Technology, Reimagined

Digital tools for faster, more elegant outcomes.

Dentist icon

Designed Around You

Care built on comfort, clarity, and trust.

Wallet icon

Accessible Excellence

Flexible financing for luxury-level care.

Crescent moon and stars icon

Care That Calms

Stress-free visits with tailored sedation.

Two hands holding leaves icon

Naturally You

Smiles crafted that are uniquely yours.

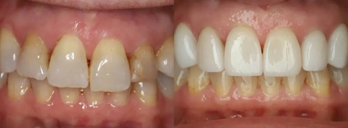
A Modern, Natural Solution for a Missing Tooth

A missing tooth can impact more than your appearance—it can affect your bite, your comfort, and your confidence. At OB1 Dental, single tooth implants offer the most advanced, long-lasting solution for tooth replacement. Unlike traditional bridges or removable options, implants replicate the feel, strength, and appearance of natural teeth. Whether you lost a tooth to decay, gum disease, or trauma, our prosthodontic expertise ensures you receive a restoration that blends seamlessly with your smile.

Why Patients Choose Single Tooth Implants

Dental implants are the gold standard for tooth replacement because they do what no other treatment can: act as an artificial tooth root. This provides exceptional stability while preventing the bone loss that occurs after tooth loss. With a single tooth implant, you can chew normally, speak clearly, and enjoy your favorite foods again without concern for shifting or discomfort. Even better, implants protect the health of adjacent teeth—no grinding or crowning required.

Designed With Facial and Functional Harmony in Mind

At OB1 Dental, your implant is planned with precision and artistry. Dr. Oz evaluates facial balance, bite alignment, bone volume, and long-term durability to create a restoration that supports both aesthetics and function. Using advanced imaging, digital planning, and high-strength ceramic materials, we ensure your new tooth looks natural while lasting for years to come. The result is a stable, attractive, and fully integrated restoration that enhances your entire smile.

Rebuild Your Smile With Confidence

If you’re missing a single tooth and want the most natural, modern replacement available, dental implants may be the perfect solution. The OB1 Dental team is here to answer your questions, review your options, and guide you through a stress-free experience. Schedule your dental implant consultation today and take the first step toward a complete, confident smile.

Frequently Asked Questions

Considering a single tooth implant? Explore the most common questions our patients ask before getting started.

Are dental implants worth it?

If you've lost a tooth due to injury, decay, gum disease, or any other reason, we recommend dental implants to replace missing teeth. Dental implants come the closest to replicating the look, feel, and function of your natural teeth.

Are dental implants painful?

Dental implants are placed into the jawbone and mirror the same function as the root of a tooth. The procedure for dental implants is usually performed while a patient is sedated. Patients who undergo IV sedation must have an empty stomach and transportation home following the procedure. Most sedation patients will have little to no memory of the procedure occurring.

What are dental implants made of?

Generally, dental implants are made out of a biocompatible metal such as titanium. Biocompatible metals are also used for other common bone implants (such as shoulder, hip, and knee replacements). The visible portion of the implant is usually made out of porcelain and is custom-made to match your existing teeth.

Are dental implants permanent?

Dental implants are designed to fuse to the bone, which makes them become permanent fixtures. Typically speaking, the success rate is nearly 100%. There are few cases in which the implant will not fuse as intended and must be removed. If this happens to occur, the procedure can be attempted again a few months later.

Are dental implants expensive?

Dental implants are not usually covered by dental insurance, but may be covered under a patient's medical insurance. Our office and your insurance company can discuss coverage options with you based on your individual case and treatment plan.

How do I care for my dental implants?

It's easy... just take care of an implant as if it's a natural tooth. This involves regular brushing, flossing, and dental checkups. If you have any concerns about your implant, contact us immediately.

Request an
Appointment

For more information or to schedule an appointment, call us at (617) 825-4444 or complete the contact form below.

What Happens After I Send My Message?
  • Our care concierge will review your information.
  • A team member will contact you.
  • We will work with your schedule to set an appointment.